Is this your app? Claim this page to add your own description, links and contact info. It's free. →

iPaxera

iPaxera at Mac App Store analyse

PaxeraHealth Corp
4,640 ratings · Power index: 140
Version 5.1.2
Size 30.5 Mb
Updated 6 years ago
Released 27 Apr 2011

How do you feel about this app?

Screenshots

Description

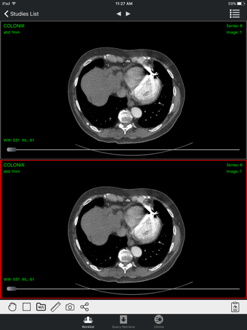
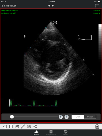
iPaxera is one of the fastest and easy to use PACS viewing applications specifically designed for viewing & navigating studies (DICOM images) with your iPad/iPhone/iPod, iPaxera was the first application to provide the ability to add studies (DICOM images) from your PC, DICOM CD or flash memory directly to iPad through local synchronization via iTunes with the USB cable like synchronizing your pictures and movies to your device (No need for Wifi/4G connections). iPaxera also has a direct interface with PaxeraView, Paxerameds Diagnostic Viewing Workstation. Via iPaxera you can write the report via the embedded reporting tool and send it by email or save it with the study. Generic speech recognition application can be used with this tool to dictate the report. iPaxera supports DICOM Cine (Multi Frame) with interactive playback controls and can be very helpful in displaying Cardiac Cath and Echo studies. iPaxera keep your studies locally with interactive worklist with ability of specific search criteria, series visual grid, detailed study information including Name, ID, DOB, study description, study date, modality, gender, accession number, series description, series date, number of images/series. Search criteria include search by patient Name, ID, Modality type, Date(All, Today, Yesterday, 2 days, 1W, 2W, 1M and 2M). The application include an easy to use processing tools like WW/WL with visual presets, distance measurement, panning, zooming, free rotation, snap shot capture and images/series fast navigation. Key features: • Study synchronization via iTunes in DICOM format. • Reporting tool to write the report and send it via email. • Display and navigating through images by an interactive slider. • Zoom , Pan , rotation and distance measurement through two-fingers drag and pinch. • Changing window width / window level through single finger drag. • Reset to default image through double tapping. Requirements: Compatible with iPad. Requires iOS 7.0 or later. Restrictions: iPaxera has not received 510(K) clearance by the FDA yet and until then, iPaxera should only be used for non-significant risk studies.

Estimates

Monthly Downloads > 3.08k
Est. Revenue ~ $1.26k

Search Keywords 1

# Term Country Place Priority
1 radiology ray x India #20

Availability

Devices

iPhone4 iPad2Wifi iPad23G iPhone4S iPadThirdGen iPadThirdGen4G iPhone5 iPodTouchFifthGen iPadFourthGen iPadFourthGen4G iPadMini iPadMini4G iPhone5c iPhone5s iPadAir iPadAirCellular iPadMiniRetina iPadMiniRetinaCellular iPhone6 iPhone6Plus iPadAir2 iPadAir2Cellular iPadMini3 iPadMini3Cellular iPodTouchSixthGen iPhone6s iPhone6sPlus iPadMini4 iPadMini4Cellular iPadPro iPadProCellular iPadPro97 iPadPro97Cellular iPhoneSE iPhone7 iPhone7Plus iPad611 iPad612 iPad71 iPad72 iPad73 iPad74 iPhone8 iPhone8Plus iPhoneX iPad75 iPad76 iPhoneXS iPhoneXSMax iPhoneXR iPad812 iPad834 iPad856 iPad878 Watch4 iPadMini5 iPadMini5Cellular iPadAir3 iPadAir3Cellular iPodTouchSeventhGen iPhone11 iPhone11Pro Watch5 iPadSeventhGen iPadSeventhGenCellular iPhone11ProMax iPhoneSESecondGen iPadProSecondGen iPadProSecondGenCellular iPadProFourthGen iPadProFourthGenCellular

Pricing by country

Country Price
Canada free
China free
France free
Germany free
Italy free
Netherlands free
Portugal free
Spain free
Poland free
UK free
India free
Japan free
Korea, Republic Of free
Poland free
Russia free
Turkey free
USA free
Korea, Republic Of free
Ukraine free

Lässt Sich seit Update 2.1 nicht mehr starten!

Bierli · 14 years ago · v2.1

Die App lässt sich seit dem Update auf 2.1 auf dem iPad 2 nicht mehr starten!

Transfers via usb

EddieF111 · 14 years ago

Searched two evenings downloaded 5 apps. None allowed simple transfer from pc to ipod. This does. Drag some or all image files in a series to app, stores them on ipod, creates folders for each series. Thank you for this app. Ed

Great App!

dwk3 · 13 years ago

Perfect for "offline" viewing of medical files.

Great support

Ricky207 · 13 years ago

I got the app and I have some problem connecting it to my pacs. I called Paxeramed and they give me great support over phone till I did the job and they call again to make sure that I am connected. Amazing support and product !!

Best iPad DIcom viewer

Samy1024 · 13 years ago

Got the app more than a year ago, it was free at the time, for two days promotion Like most radiologists, didnt plan to use it for reporting or diagnosis, but thought about quick look on routine cases, and sharing interesting cases on the go The app works fine, very fast, I used iTunes to upload my images, but later, I found that you can connect it to your PACS also I started using it to discuss cases with clinicians out of Radiology dpt. many surgeons thought itd be a good idea to upload their cases on iPad and take it to OR, as some ORs dont have workstations, and the idea started to appeal almost all surgeons, especially ENT and Ortho, Neurosurgeons and Spine surgeons as well The app has a nice user friendly self explaining interface, needs no training, you have all the basic viewing functions you need in one place I had many other iPad dicom viewers, but ended up using this one only, turned out to have a reporting module as well, where you can dictate or type a quick report if you chose to, so I started dictating notes and send it to the junior radiologists to edit the report The best part was taking the iPad to the clinical team to discuss cases at the ward or OPD, where the app opens very quick and query cases is also very fast had no problems with it Id recommend the app not only for radiologists, but also for surgeons

Simply a great application for radiologists

EN-911 · 13 years ago

It is one of the most user-friendly products on the market. I install it and use it to get my studies and works fine in minutes, company support is also great. It is designed specifically for radiologist. The system is best for small and medium practices, and can be used in a wide variety of specialty practices. Very easy to use. Has all the basic tools I need, awesome. Finally a real app. for radiologists.

Crash

Amgad Ahmed Tagi Mohamed · 12 years ago

Since last update to the newest version I cannot log in whenever I put the pass code it crash down