Is this your app? Claim this page to add your own description, links and contact info. It's free. →

Monster Anatomy - Upper Limb

Monster Anatomy - Upper Limb at Mac App Store analyse

Monster Minds Media SAS
5,020 ratings · Power index: 410
Version 2.0.1
Size 93.09 Mb
Updated 9 years ago
Released 12 Oct 2011

How do you feel about this app?

Screenshots

Description

Monster Anatomy - Upper Limb is an interactive lower limb radiology atlas developed in the Medical Imaging Department of the University Hospital Center of Nancy, France, under the supervision of Professor Alain Blum. 



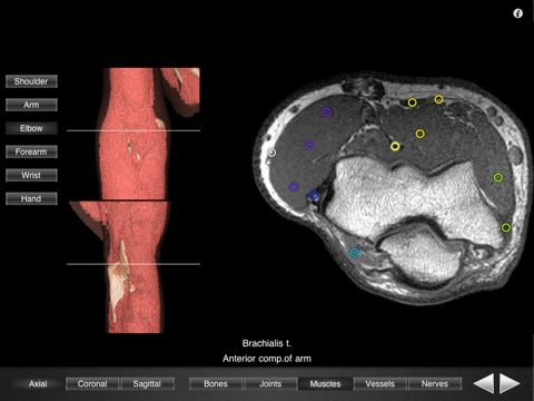
Monster Anatomy – Upper Limb is the complement of Monster Anatomy HD – Lower Limb and is compatible with iPhone and iPad. This application is designed for healthcare professionals (Radiologists, General Practitioners, Orthopedists, Surgeons, Physiotherapists among others) as well for students, as a reference and learning tool. It contains 502 contiguous MR slices (2-4 mm thickness) in the three anatomical planes.



 Features: 

- Intuitive navigation with multiple shortcuts. 

- Fluid display of images in the three anatomical planes.

 - 3D Image volume (VR) allows precise location of slice position. 

- Over 500 different labels in accordance with the “Terminologia Anatomica" and current literature references.
 - Over 16.000 tags.

 - The five different display modes available (bones, joints, muscles, blood vessels and nerves) facilitates label visualization. - High image quality with a zooming tool. 



Once the application is installed no network connection is necessary.



 *** If you have problems in using the application, please email us, we can not respond to comments on the App Store. Thank you. *** NB : Monster Anatomy – Upper Limb is designed for trained healthcare professionals. This application is not intended as a substitute of patient/healthcare provider interaction or as a replacement of professional judgment.

Estimates

Monthly Downloads > 9.02k
Est. Revenue ~ $3.69k

Availability

Devices

iPhone3GS iPadWifi iPad3G iPhone4 iPodTouchThirdGen iPodTouchFourthGen iPad2Wifi iPad23G iPhone4S iPadThirdGen iPadThirdGen4G iPhone5 iPodTouchFifthGen iPadFourthGen iPadFourthGen4G iPadMini iPadMini4G iPhone5c iPhone5s iPadAir iPadAirCellular iPadMiniRetina iPadMiniRetinaCellular iPhone6 iPhone6Plus iPadAir2 iPadAir2Cellular iPadMini3 iPadMini3Cellular iPodTouchSixthGen iPhone6s iPhone6sPlus iPadMini4 iPadMini4Cellular iPadPro iPadProCellular iPadPro97 iPadPro97Cellular iPhoneSE iPhone7 iPhone7Plus iPad611 iPad612 iPad71 iPad72 iPad73 iPad74

Pricing by country

Country Price
Canada 25.99 CAD
China 123 CNY
France 20.99 EUR
Germany 20.99 EUR
Italy 20.99 EUR
Netherlands 20.99 EUR
Portugal 20.99 EUR
Spain 20.99 EUR
Poland 20.99 EUR
UK 18.99 GBP
India 999.99 INR
Japan 999.99 JPY
Poland 89.99 PLN
Russia 999.99 RUB
Turkey 67.99 TRY
USA 18.99 USD
Korea, Republic Of 20.89 USD
Ukraine 18.99 USD

Master anatomy

adibou61 · 14 years ago · v2.0

Merci , enfin, ça pris du temps mais lessentiel es là, la collection es complète et parfaite Merci Maître Blum On attend de maintenant la pathologie et vos bons cas cliniques que vous avez tant présenté ....

Nickel

Carole Crovetto · 13 years ago · v2.0.1

Excellente appli qui complète bien la précédente dédiée au membre inférieur.

Utilisation monster M> & M<

lafontaine1 · 13 years ago · v2.0.1

Les coupes sont de bonnes qualité.les images ont une bonne définition. Il manque un repérage métrique pour mieux se situer par rapport aux repérages osseux En tant quinjecteur et échographiste cest une aide utile au repérage. À quand le même programme pour les muscles du cou?

Excellente application

Nest1974 · 9 years ago · v2.0.1

Jattends avec impatiente le cou en IRM! Très bon travail et merci pour lapplication!!

Não funciona labels

Radiologista · 14 years ago · v2.0

Não está funcionando no iphone4, no meu e de outro colega, já avisei pelo suporte e nada de atualização.:(

.

rogeronaga · 14 years ago · v2.0

No momento ruim, pois não apresenta marcações dos pontos anatômicos. O do membros inferiores é muito bom. Aguardo atualizações para correção.

Amazing

Rad res quebec · 12 years ago · v2.0.1

Amazing. Bought both upper and lower. Great tool for reference. Please keep updating and having other sequences and contralateral limbs would be nice.