Is this your app? Claim this page to add your own description, links and contact info. It's free. →
Version
3.1.4
Size
6.14 Mb
Updated
9 years ago
Released
07 Mar 2013
Description
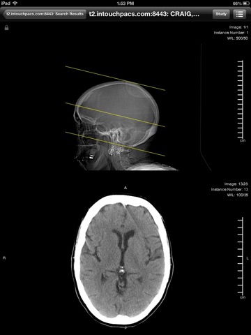
SurePACS by InTouch Health is an integrated Telemedicine clinical work flow tool designed to bring patient imaging right to the finger tips of a remote physician. SurePACS is the only product that delivers anytime, anywhere full-functionality advanced visualization of medical images without storing patient data on the mobile device. Eliminating the need for confidential patient information to be retained on the device provides clinicians instant access and eliminates data security concerns.
Ubiquitous access to 2D, 3D and MIP/MPR viewing of CT and MR images make SurePACS uniquely suited to deliver telemedicine care. Support for both Wi-Fi and cellular data networks allows for cost-effective delivery of world-class care to even the most remote patient populations.
Now 510(k) cleared for primary diagnostic use by the FDA!
Note: This product requires access to a configured InTouch Health SurePACS Server.
Product feature highlights:
• 2D: Dynamic win/lvl and viewing presets
• Cine: High-performance scrolling
• 3D: Fully-interactive navigation
• MIP: Slab viewing (up to 50mm)
• MPR: Standard anatomical orientations
• Worklist: Recent studies list and search
• Network: Wi-Fi and 3G support
Product requirements:
• Access to a InTouch Health StrokeRESPOND and InTouch Health SurePACS Server
Indications for Use:
Please refer to User Guide embedded in the application for detailed Indications for Use statement and precautions
Estimates
Search Keywords 1
| # | Term | Country | Place | Priority |
|---|---|---|---|---|
| 1 | presence, inc | #20 |
Competitors
| # | App | Common keywords |
|---|---|---|
| 1 | Presence Radio | 7 |
| 2 | ZEN - People Powered Video | 7 |
| 3 | Zeme - Video Editor: Add Music to Vines and Instagram Videos | 7 |
| 4 | Mr. Border - Border Wait Times | 7 |
| 5 | Zeme Pro - Video Editor: Add Music to Vines and Instagram Videos | 7 |
| 6 | VeeR Editor | 7 |
| 7 | Teladoc Health Provider Access | 7 |
| 8 | Pronto! | 7 |
| 9 | UNITY ONE, Inc. | 7 |
| 10 | NYU Stern Leadership Presence | 7 |
| 11 | Proxy ID | 7 |
| 12 | PLDT UCaaS | 7 |
| 13 | Snowrise | 7 |
| 14 | PACS Viewer | 7 |
| 15 | Presence - The 360° Community | 6 |
| 16 | AT&T Collaborate | 6 |
| 17 | Ganje Hozour 2 | 6 |
| 18 | Alteva Mobility | 6 |
| 19 | Access Consciousness | 4 |
| 20 | PortSIP UC | 4 |
| 21 | In His Presence FWC | 3 |
| 22 | Presence Health: Be Stroke Aware | 2 |
| 23 | Mindbliss - Meditation & Sleep | 1 |
| 24 | 7 Keys For Attention Development | 1 |
| 25 | LifeBridge Christian Center | 1 |
Availability
Devices
iPhone3GS
iPadWifi
iPad3G
iPhone4
iPodTouchThirdGen
iPodTouchFourthGen
iPad2Wifi
iPad23G
iPhone4S
iPadThirdGen
iPadThirdGen4G
iPhone5
iPodTouchFifthGen
iPadFourthGen
iPadFourthGen4G
iPadMini
iPadMini4G
iPhone5c
iPhone5s
iPadAir
iPadAirCellular
iPadMiniRetina
iPadMiniRetinaCellular
iPhone6
iPhone6Plus
iPadAir2
iPadAir2Cellular
iPadMini3
iPadMini3Cellular
iPodTouchSixthGen
iPhone6s
iPhone6sPlus
iPadMini4
iPadMini4Cellular
iPadPro
iPadProCellular
iPadPro97
iPadPro97Cellular
iPhoneSE
iPhone7
iPhone7Plus
iPad611
iPad612
iPad71
iPad72
iPad73
iPad74
iPhone8
iPhone8Plus
iPhoneX
Pricing by country
| Country | Price |
|---|---|
| Canada | free |
| UK | free |
| USA | free |